Implantes Dentales

Somos una clínica especialista en implantes dentales, con más de 15 años de experiencia y más de 4000 implantes exitosos.

¡Contactanos!

Direccion:
Av. Pablo Casals 615, Prados Providencia, 44670. Guadalajara, Jal.

Numero de Telefono:
 33 3642 3349 33 3139 1367 (WhatsApp)

Mail:

 ​info@ries.mx

Promoción de Implante

Implante Dental y Corona de Metal Porcelana
de $18,000.00 a $15,000.00
6 meses sin intereses Ó 10 % de descuento extra pagando en efectivo.

Procedimiento del implante dental

Es un procedimiento seguro, que se realiza con anestesia local, en un promedio de 30 minutos cada implante. Cómo se premedica, este procedimiento es indoloro.

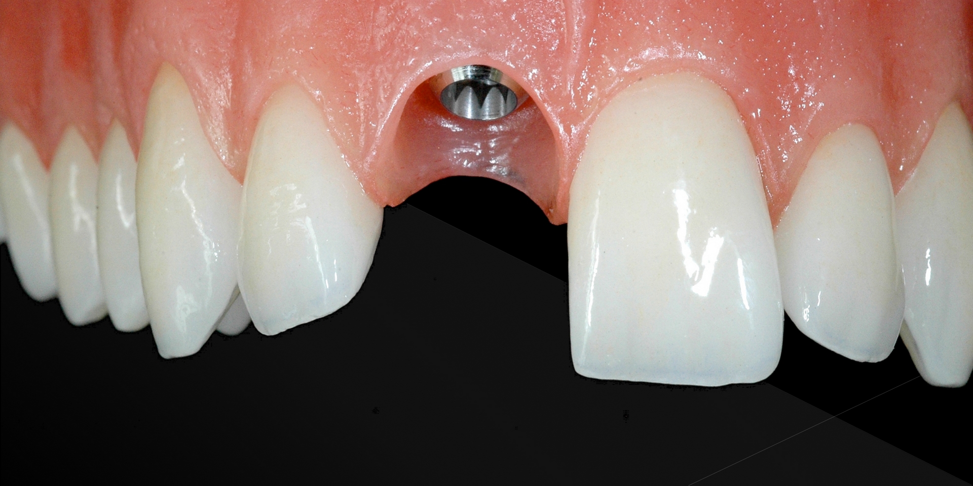
Restauración con Implante

Un sólo diente

Este proceso es llevado a cabo de dos formas:
1) Inmediatamente después de hacer la extracción del diente y se coloca el implante en esa misma cita, siempre y cuando, no haya infección y suficiente cantidad de hueso
2) De forma mediata de 2 a 3 meses cuando se hizo la extracción.

El protocolo clínico es muy sencillo, se efectúa con anestesia local y se inserta el implante esperando de 3 a 4 meses para hacer la rehabilitación.

Dos dientes en un implante

En algunos casos cuando la oclusión es adecuada y hay una buena cantidad de hueso al igual que calidad, es opcional hacer una protesis de dos piezas sobre un implante, la razón es porque hay zonas anatómicas que no permiten hacer el inserto del implante

Prótesis multiple sobre implantes.

En los casos cuando hacen falta varios dientes ya sea posterior o anterior, hay la alternativa de hacer una protesis sobre implantes (puente sobre implantes) es decir rehabilitar 4 dientes sobre 2 implantes.

Prótesis total fija sobre 4 implantes 
ALL ON 4

En los pacientes que ya no tienen mucho soporte para
su prótesis total hay la alternativa de hacer una prótesis más estable sobre 4 implantes ayudando a la
estabilidad y evitar que se pierda más hueso. Esta es una prótesis total de cerámica.

Prótesis Total sobre Implantes con barras 

Cuando se ha perdido la mayoría de hueso, el área del mentón es donde mejor museo tenemos, sí que se puede hacer la rehabilitación sobre implantes con barras dando estabilidad y retención a la prótesis, evitando así que se pierda más hueso.

Prótesis Total fija sobre implantes 

Cuando se han perdido todos los dientes y el paciente tiene hueso remanente podemos hacer una protesis total fija regresando la estética y función del paciente

Regeneración ósea

Cuándo un diente se pierde, lo normal es que el hueso se empiece a reabsorber y sea complicado insertar el implante dental, en estos casos se tiene la alternativa de hacer una regeneracion osea, un procedimiento que tiene com objetivo aumentar la cantidad del hueso perdido.

Rehabilitación Inmediata sobre Implante

En algunas ocasiones cuando la cantidad y la calidad de hueso lo permite se puede hacer una rehabilitación inmediata sin necesidad de esperar los 3 meses de oseointegración, se necesitan tecnicas e implantes especiales.

Dudas sobre implantes dentales

¿QUE SON LOS IMPLANTES DENTALES?

Son insertos médicos de Titanio biocompatibles con el organismo de forma semejante a una raiz, que por medio de una cirugia sencilla se colocan en el lugar del diente perdido, para despues atornillar un poste que servira de soporte para la corona. 

¿COMO SE SI SOY CANDIDATO PARA IMPLANTES DENTALES?

Los pacientes que son candidatos son aquellos de preferencia mayores de 18 años, ya que se hayan desarrollado bien la cavidad bucal y sin límite de edad adulta, generalmente los pacientes de la 3.ª edad son los más beneficiados, aunque muchos jóvenes por algún incidente aislado son candidatos para rehabilitar con implantes dentales. En una visita con el especialista y una radiografía se puede decidir si es opción los implantes dentales.

¿CUALES SON LAS CONTRAINDICACIONES DE LOS IMPLANTES DENTALES?

Las principales contraindicaciones para poder ofrecer la terapia con implantes dentales son las siguientes:

- Edad menor de 18 años

- Cuando no hay suficiente cantidad y calidad de hueso.

- El uso de Bifosfonatos (medicamentos empleados para la osteoporosis)

- Hipertensión arterial no controlada.

- Diabetes no controlada

- Alcoholismo y/o Tabaquismo.

- Cáncer o terapia con Radiaciones o Quimioterapia.

- Cualquier enfermedad inmunodepresora no controlada.

¿CUANTOS DURAN LOS IMPLANTES DENTALES?

En nuestra clínica garantizamos los implantes dentales de por vida, no así las coronas de porcelana y los tornillos de fijación, estos tienen una vida hasta 10 años, depende el uso, los hábitos y la higiene de cada paciente.

¿POR QUE PUEDO PERDER UN IMPLANTE DENTAL?

En principio los implantes se pueden perder por 3 razones

- Los implantes puede traer algún defecto de fabricación.

- Algún error en el procedimiento para colocar o rehabilitar el implante por el profesional.

- El paciente no haga lo indicado, así como no asistir a las consultas de control.

A excepción de que el paciente no asista a sus citas de control 2 veces al año, las demás razones se harán válidas para cambiar el implante sin costo, más no así la corona de rehabilitación.

¿CUANTOS TIPO DE IMPLANTES EXISTEN?

Hasta el 2023 la gran mayoría de los Implantes Dentales son de Titanio, entre más puro son más costosos, pero más seguros, hay una alternativa de la compañía STRAUMAN de implantes de Zirconio, pero todavía muy limitados al momento.

¿POR QUE HAY TANTA DIFERENCIA DE PRECIO EN LOS IMPLANTES DENTALES?

En la actualidad hay una gran cantidad de Implantes Dentales de diferentes marcas que ofrecen tecnología diferente y diferente pureza de Titanio. 

También hay variaciones en cuanto a materiales de restauración, más utilizados siendo: Metal, Cerámica o Porcelana, Zirconio y Resina, las cuales hacen variación en la cotización.

En conclusión mucho depende la calidad del Titanio del implante, la tecnología que se utiliza, el tipo de restauración que se va a usar y la calidad de la clínica, así como la preparación y experiencia del Odontólogo.

Aldo J. Flores I.


Titulado por la Universidad de Guadalajara 1985, como Cirujano Dentista.

Diplomado en Estética Dental e Implantología por la UNAM 2000.

Cursos de capacitación por más de 300 horas en México y el extranjero.

Catedrático en la UNAM y la Universidad Cuauhtémoc.

Conferencista Nacional e Internacional.

Responsable de la Clínica RIEs desde 2008, especializado en Implantes y Estética Dental

Contáctanos

Thank you! Your message has been sent.
Unable to send your message. Please fix errors then try again.